Our patients trust us to provide them with comprehensive care for a variety of dental needs. And we deliver! At Nashoba Valley, we've transformed lives through our dental care, and we hope you'll trust us to transform yours.


Patient was missing teeth after a motorcycle accident, received implants and bridge to restore smile.


Patient was missing lateral tooth, we placed the implant and restored with crown to match existing dentition, start to finish with Nashoba Valley Dental.


Patient had missing teeth, and didn’t want implants so we went with a more conservative treatment (Maryland Bridge) to replace their missing laterals.


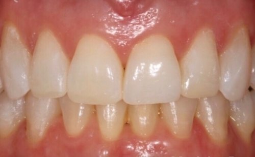
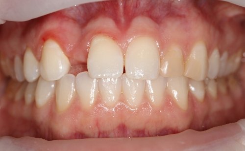
Patient received resin bonding treatment to close spaces after orthodontics, finished what braces couldn’t.


Patient had a gap after previous orthodontic treatment, direct bonding was used to close the gap.




















Please call 978.262.0023 or click below to set-up an appointment online.